중점 연구분야
연구공간중점 연구분야국민건강 증진
항 피부노화 식품소재 발굴 및 작용기작 규명
연구내용 및 특징
- 건강하고 아름다운 삶을 원하는 소비자의 욕구 충족을 위해 피부 건강기능식품을 개발할 목적 으로 신속, 정확한 소재 스크리닝 시스템 개발
- 식품유래 항피부노화 효능 성분을 신속하게 탐색하고 작용기작을 구명하여 미용 기능성식품의 효능과 안전성 분석
주요성과
- J. Cell. Mol. Med. 등 3편
- 국내특허 (10-2015-0096653) 등 1건 출원
- 항피부노화 소재 탐색용 프로모터 분석법의 활용에 의한 노화억제 활성속도 향상
기대효과 및 활용분야
- 항피부노화 소재의 고속스크리닝 기술은 질환예방용 기능성식품소재에 확대 적용 가능
- 다양한 소재의 항피부노화 효능을 분석함으로써 피부건강기능식품 개발 및 상용화

재래간장 유래 당화합물 합성 및 짠맛증강 활성평가
연구내용 및 특징
- Mannose 함유 다당류 및 각 다당류에 펩타이드가 결합된 화합물을 합성하고 아밀로라이드 감수성/비감수성 짠맛인지 관련 맛수용체에 대한 활성분석
- Peptide 함유 다당류 중 아밀로라이드 비감수성 짠맛인지 관련 경로, Calcium-Sensing 수용체 증강작용을 확인하였으며, 활성 발현에 필요한 물질의 구조특성 확인
주요성과
- Food Chemistry 투고 1편
- Peptide 결합 당 화합물의 미각수용체 활성화 작용 입증
기대효과 및 활용분야
- 맛 수용체의 짠맛인지 관련 작용 기전 해석을 통한 짠맛인지 작용에 관한 이해 증진
- 나트륨 과다섭취 저감화 유도에 필요한 기반 기술로 국민 삶의 질 개선 및 의료비 절감

갱년기 증상 완화를 위한 장내미생물 분석
연구내용 및 특징
- 갱년기 유발 동물과 일반 female 동물의 장내미생물 변화 확인을 통해 폐경 이후 호르몬 변화에 영향을 받는 특정 미생물 확인
- 호르몬 감소와 관련한 미생물을 발굴하고 미생물 회복 실험을 통해 골다공증 개선 효과 확인 및 미생물과의 상관관계 구명
주요성과
- Nutrients 등 2 편
- 갱년기 모델과 상관관계의 특정 미생물종 발굴
기대효과 및 활용분야
- 생체 호르몬 변화와 장내미생물과의 상관관계 구명으로 갱년기증상에서의 장내미생물의 신규 역할 구명
- 갱년기 증상 완화를 위한 새로운 메커니즘 구명 및 갱년기 증상 완화용 미생물 소재 개발
[ 난소 절제 모델에서 장내 미생물 균총변화 ]
해양자원으로부터 수면유도 건강기능식품 소재 발굴
연구내용 및 특징
- 반응표면분석법 (response surface methodology)을 이용하여 갈조류로부터 수면유도 기능성의 해조 폴리페놀 추출공정 최적화
- 고순도 해조 폴리페놀의 선택적 정제기술 개발 및 소재의 산업화를 위한 지표성분 dieckol의 분석법 구축
주요성과
- Psychopharmacology 등 3편
- 국내특허 (10-2013-0118015) 1건 출원
- 국내 최초 수면개선 기능성원료 개별인정 획득
기대효과 및 활용분야
- 고순도 해조 폴리페놀의 산업적 생산공정 개발로 부터 세계 시장에서의 가격 경쟁력 확보
- 공동연구 및 기술이전 대상기업인 (주)에스앤디의 매출 신장 및 시장 점유률 확대
[ 반응표면분석볍을 이용한 공정최적화 ]
[ 세계 유명제품과의 효능 비교 결과 ]
식욕조절 호르몬의 고감도 고속측정 연구
연구내용 및 특징
- 주요 포만 호르몬의 하나인 렙틴의 고감도 측정을 위한 Eu Chelate-항체 나노접합체 기반 시간 분해형광면역측정법 개발
- 고속측정이 가능한 형광 Microplate 측정시스템 구축, 5 pg/mL의 고감도 검출한계 보유
- 렙틴측정용 기존 ELISA와의 경합적 지위 확보 가능
주요성과
- Rat 혈청내 렙틴함량의 재현성 있는 형광측정기법 개발
기대효과 및 활용분야
- 형광나노체 기반 형광면역측정법 연구로 식품기능성 신속평가에 기여
- 바이오마커를 이용한 식품기능성 평가관련 연구기반 구축
- 항체 등을 이용한 접합체 제조 기반기술 제공 기대
[ 렙틴 DELFIA 원리 ]
[ 렙틴 검량선 ]
십자화과 식품소재의 뇌신경 보호 효과 연구
연구내용 및 특징
- 중추신경계의 90%를 차지하는 Glia 세포의 활성을 조절하는 Modulator를 십자화과 및 국화과 식품소재에서 도출
- Neuron-Glia 상호조절을 통한 방어효과 연구, 퇴행성뇌질환 등 신경질환 방어제 개발 및 기전 연구
주요성과
- Neurotoxicology등 5편
- 국내특허 (10-2013-0141130) 1건 출원
- 식품소재로부터 새로운 퇴행성 뇌질환 방어제 개발
기대효과 및 활용분야
- 식품 소재로부터 Neuron-Glia 상호조절 연구시스템으로 뉴런세포 보호 효과 구명 연구 관련 우위 선점
- 식품소재로부터 새로운 퇴행성 뇌질환 방어제 제시 가능
- 고령화에 따른 퇴행성 뇌질환의 방어제 개발로 향후 식품소재산업창출 및 국민 삶의 질 향상에 기여
[ 갯무의 세포사멸억제 기전 연구 ]
[ 갯무의 세포사멸억제 효능 평가 ]
대사체학에 기반한 식품의 혈행장애 효능 평가 연구
연구내용 및 특징
- Metabolomics 기술을 이용하여 혈행장애 관련 대사체와 혈행장애 개선소재의 생체내반응 상호 관련성 분석
- 혈행장애 동물모델을 확립하고, 식품소재에 의해 조절되는 내인성 대사체의 프로파일 확보
주요성과
- Food Sci & Technol. 등 2편
- 대사체 기반 혈행장애 개선을 위한 Allium속 식품소재 발굴
기대효과 및 활용분야
- 대사체 분석 분야에 새로운 첨단장비와 기술을 적용함으로써 질환 진단의 생체지표 발굴 및 기능성 식품 소재의 영향 평가 기법에 대한 원천 기술 확보
- 대사체 연구기반 식품 소재의 유효성을 평가할 수 있는 분석기법 제시로 Allium속 식품의 개별 인증 건강기능식품을 위한 근거 제공
[ 혈행장애 관련 대사체 도출 ]
Phytochemicals의 체내동태해석 연구
연구내용 및 특징
- 무, 배추 등의 아린맛 성분인 Allyl Isothiocyanate (AITC)의 체내대사체인 GSH-AITC와 NAC-ALTC를 동정하고 합성
- 지질대사에서 합성대사체의 지방분화 및 지방생성억제 효능 확인
주요성과
- PLoS One 1편
- AITC의 체내동태 해석 및 지질대사 개선효능 확인
기대효과 및 활용분야
- Phytochemicals의 pharmacokinetics 분석 및 동정 기술기반으로 Whole Foods의 Nutrikientcis 연구로 확대 가능
- 생체내에서 직접 효능을 발휘하는 대사체 발굴 및 기전연구 가능
[ AITC의 흡수, 분포, 대사, 배설경로 ]
전통식품의 인슐린 저항성 조절기작 연구
연구내용 및 특징
- 전통식품 Phytochemical의 인슐린 저항성 개선 효능 평가와 Mitochondria 타겟 작용기전 구명
- 마늘의 Garlic Breath 성분인 Ally Methyl Sulfide (AMS) 의 체내 인슐린 저항성 개선 효능 검증
주요성과
- J. Nutr. Biochem. 등 4편
- 국내 특허 (10-1355830) 등 등록 1건, 출원 2건, PCT 출원 1건
- AMS의 인슐린 저항성 개선 효능 및 기전 구명
기대효과 및 활용분야
- 우리나라 전통식품의 대사성 질환 예방 효능 구명
- 식품소재의 인슐린 저항성 조절에 대한 과학적 Evidence 제공
[ AMS의 인슐린 저항성 개선효능 및 작용기전 ]
전통식품의 염증억제 및 예방 효능 연구
연구내용 및 특징
- 도출된 전통식품 Phytochemical인 Allyl Isothiocyanate를 이용 염증성 장질환 동물모델 활용 염증 및 발암관련 신호전달 기전 검증
- 유전자 과발현 바이러스(angiopoietin-1) 활용 염증성 장질환 모델에서 염증 관련 신호 전달 기전 검증
주요성과
- PLoS One 등 2편
- 국내특허 (10-1371354) 1건 등록
- 십자화과 채소성분 AITC의 염증성 장 질환 개선 및 관련기전 제시
기대효과 및 활용분야
- 전통식품에 함유되어 있는 Phytochemical을 이용하여 염증 억제 및 예방 효능을 과학적으로 검증, 전통식품의 기능적 우수성 홍보
- 대장질환, 신장질환, 심혈관질환 등 혈관성 염증을 예방하기 위한 새로운 기능성 식품으로 개발
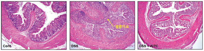
[ 염증성 장 질환에서 AITC의 조직병리학적인 보호효과 ]
막걸리의 암 예방 효능검증 및 신규 활성성분 도출
연구내용 및 특징
- K-푸드의 대표격인 막걸리의 암예방 가능성을 검증하고 암예방 효능이 있는 신규 성분
- 막걸리 건조물이 위암세포 성장억제, 종양억제유전자 발현 유도 및 종양성장 억제하는 효능이 있음을 확인
- 건조물에 다량 함유된 베타시토스테롤(쌀의 주성분)을 신규 동정하고, 신규성분의 종양성장 억제효능 검증
주요성과
- J. Microbiol. Biotechnol. 1편
- 국내특허 (10-2015-0126095) 1건 출원
- 막걸리의 위암 예방 효능을 세포 및 동물실험 계에서 최초 증명
기대효과 및 활용분야
- 막걸리와 신규 활성성분의 암 예방 가능성에 대한 과학적 데이터 확보
- 암 예방 기능성 홍보를 통한 막걸리의 우수성 제고, 가치창출 및 해외수출 시 기능성자료 제출 가능
- 막걸리 및 관련 산업체의 매출상승과 시장 확대 기대
[ 막걸리의 종양억제 효능 ]
[B-SitoSterol의 종양억제효능 ]
청국장 및 된장의 NGS을 이용한 천연 항균소재 개발
연구내용 및 특징
- 전통 콩발효식품 유래 항균활성 보유 미생물 (LM7)을 탐색하여 해당 미생물의 유전자 해독을 통해 항균물질 생산에 관련된 유전자 클러스터 발굴
- LM7이 생산하는 항균 물질은 Bacillomycin D와 Surfactin이며 이 향균물질들은 세균, 효모, 곰팡이 등 다양한 미생물에 대해 넓은 범위의 항균력 보임
주요성과
- Int. J. Food Microbiol. 등 2편 투고
- 전통발효식품 미생물 항균물질 이용 유해미생물억제 천연식품보존제 개발
기대효과 및 활용분야
- 유전자 재조합에 의한 항균 펩타이드의 안정적인 고생산 가능
- 기존 항생제 대체 Food Grade 수준의 천연 항생물질개발 기반구축
- 친환경 천연 항균물질을 사용한 고품질 식품보존제 개발 가능
- 전통발효식품 유래 천연 항균제 및 관련 유전자, 효소 은행 구축
- 신선식품 적용 품질 향상 및 유지에 의한 자원낭비 감소
[ 전통 콩 발효식품 유래 LM7미생물 배양액의 다양한 미생물에 대한 항균활성 ]

